
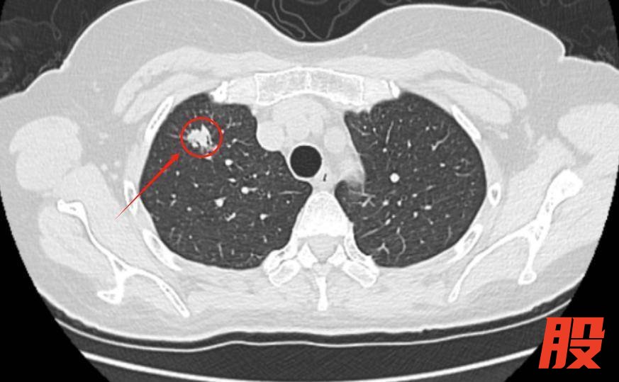
“我母亲从不吸烟,怎么会查出肺癌?”近日,63岁刘阿姨(化名)的儿女拿着母亲的诊断报告,满是困惑与不解。平素身体健朗的刘阿姨,无吸烟史、无慢性呼吸道疾病史,却在年度体检中意外发现右上肺直径约1.2cm的磨玻璃结节。随后,儿女陪同她前往湖南省第二人民医院(湖南省脑科医院)微创中心胸外科就诊。

接诊的舒升光主任医师结合刘阿姨的影像学特征与病史,迅速邀请呼吸内科、放射科、病理科开展多学科会诊(MDT),经全面评估后,为其制定了胸腔镜下肺结节微创切除方案。近日,手术在全麻下顺利完成,术中快速病理提示腺癌,术后病理确诊为肺腺癌IA2期。得益于早期发现与规范治疗,刘阿姨的病情得到了有效控制。
舒升光主任医师表示,刘阿姨家属的疑问,道出了很多人的认知误区——长久以来,肺癌被贴上“男性专属”“吸烟专属”的标签,而近年来,全球女性肺癌发病率持续上升,其中非吸烟女性患者占比显著增加,已成为威胁女性健康的重要恶性肿瘤之一。女性肺癌在风险因素、临床特征等方面具有特殊性,却长期被忽视,不少患者因此延误了早期诊疗时机。
很多非吸烟女性疑惑,自己无吸烟习惯,为何仍会面临肺癌风险。舒升光主任医师介绍,非吸烟女性肺癌的高发,与四大核心风险因素密切相关:
一是被动吸烟,男性二手烟会使配偶女性肺癌风险升高40%至60%,而三手烟残留的致癌物会在环境中长期累积,持续危害健康;二是厨房油烟,中式烹饪常用的爆炒方式会产生含苯并芘等强致癌物的油烟,长期下厨的女性患病风险会升高30%至50%;三是生理与遗传因素,雌激素可能加速癌细胞生长,有肺癌家族史的女性患病风险是普通人的2至3倍;四是环境与生活习惯,空气污染、装修污染以及长期精神压力,也会增加患病几率。
女性肺癌早期症状多不典型,容易被当成感冒、支气管炎等小毛病忽视。舒升光主任医师提醒,女性若出现持续咳嗽、痰中带血、胸部隐痛、不明原因消瘦等症状,切勿拖延,需立即前往医院就诊检查,排除肺癌风险。
针对女性肺癌的防控,舒升光主任医师给出了“三级预防”建议,助力女性科学守护肺部健康:
一级预防重在规避风险,远离烟草(包括拒绝二手烟、三手烟),烹饪时全程开启油烟机,减少高温爆炒,保持规律作息与健康心态;二级预防核心在早筛,40岁以上、有肺癌家族史、长期下厨等高危女性,建议每年进行1次低剂量螺旋CT筛查,实现早发现、早诊断;三级预防关键在规范治疗,早期肺癌首选胸腔镜微创手术,创伤小、恢复快,靶向治疗对女性肺腺癌患者疗效尤为显著。
“肺癌绝非吸烟男性的专属疾病,非吸烟女性肺癌的高发态势必须引起全社会重视。”舒升光主任医师强调,女性要打破传统认知误区,正视自身面临的患病风险,主动做好防控措施,定期筛查。
潇湘晨报·晨视频记者刘畅 通讯员严黎明
举报/反馈网眼查配资提示:文章来自网络,不代表本站观点。